Cs En Translate
Celní správa České republiky
Generální ředitelství cel
oddělení vztahů k veřejnosti
Budějovická 7
140 00 Praha 4

V Praze 28.02.2023

Tisková zpráva

Polykače kokainu z autobusu odhalil speciálně vycvičený pes celníků

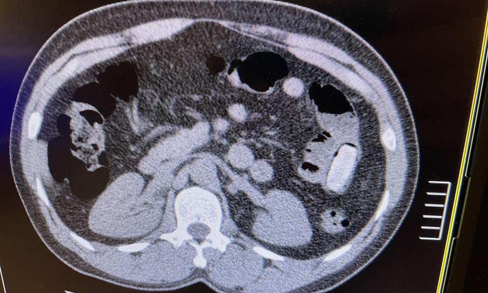
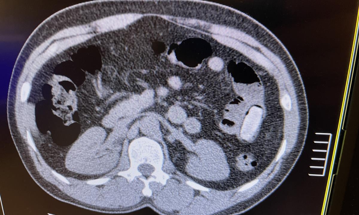
Celníci z Protidrogového oddělení v Plzni ve spolupráci s kolegy z celního úřadu zadrželi v loňském srpnu v Rozvadově nigerijského drogového kurýra, tzv. „polykače“, v jehož útrobách bylo 55 kontejnerů kokainu o váze 624,8 g. V těchto dnech mu Okresní soud Tachov uložil nepodmíněný trest v délce trvání 6 let s následným vyhoštěním.  

Pětačtyřicetiletý cizinec cestoval linkovým autobusem na trase Brusel – Praha, přičemž cílovou destinací mělo být Rakousko.  Při celní kontrole na něj pozitivně reagoval služební pes vycvičený na vyhledávání drog, označil ho a muž byl pro podezření přepraven do zdravotnického zařízení. Následné rentgenové vyšetření prokázalo výskyt cizích předmětů v tělních dutinách cestujícího a laboratorní rozbory potvrdily podezření celníků, že se jedná o kokain. Během jednoho dne vyloučil organismus muže postupně všechny kontejnery s drogami.  

Riskantním jednáním si měl pašerák přijít na 50 000 Kč.

Spolu s celníky z Protidrogového oddělení v Plzni se na případu podílela též Policie ČR, Služba kriminální policie a vyšetřování v Tachově. 

kpt. Ing. Martina Kaňková
Sekce pátrání - Generální ředitelství cel
mobil: +420 724 431 127
fax: +420 261 332 100
e-mail: media@cs.mfcr.cz

Skočit na začátek stránky