Cs En Translate
Celní správa České republiky
Generální ředitelství cel
Oddělení Vztahů k veřejnosti
Budějovická 7
Praha 4

V Praze 17.11.2010

Tisková zpráva

Celníci v Praze – Ruzyni odhalili pašeráka, který měl v těle desítky kapslí kokainu

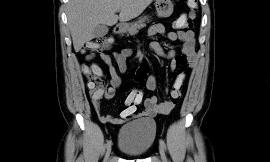
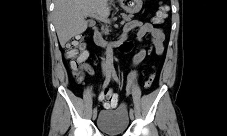
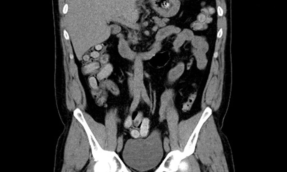
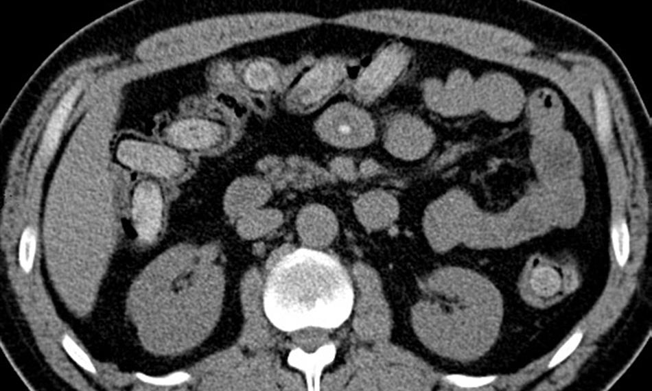
Pražští celníci zadrželi v sobotu v podvečer při kontrole cestujících na ruzyňském letišti 36 letého litevského občana, který měl v těle 67 kapslí s kokainem (1 kapsle obsahovala cca 11 gramů kokainu). Za toto množství drogy by bylo možné získat přes jeden a půl milionu korun.

Pašerák drog letěl na lince Sao Paolo – Curych - Praha. Jeho chování při kontrole cestujících na vstupu do ČR bylo celníkům podezřelé, provedli kontrolu zavazadel, následně osobní prohlídku a  kontrolní stěr rukou. Kontrolní stěr rukou byl pozitivní.

   

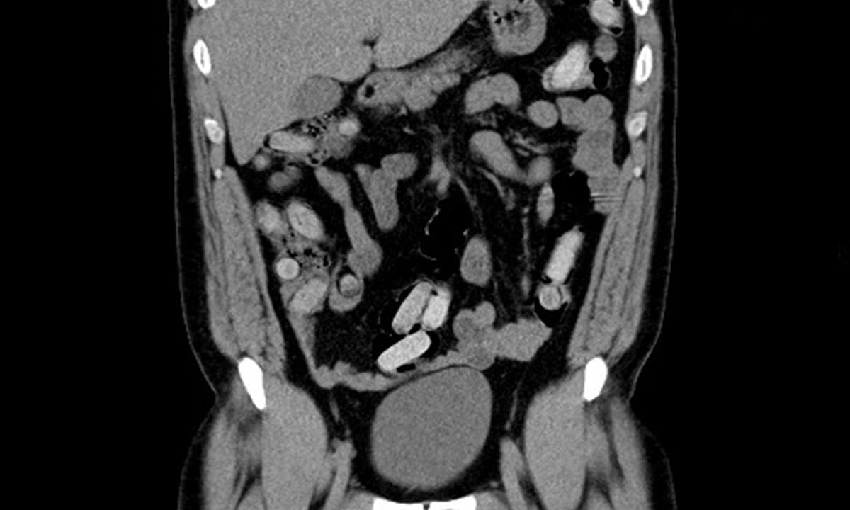
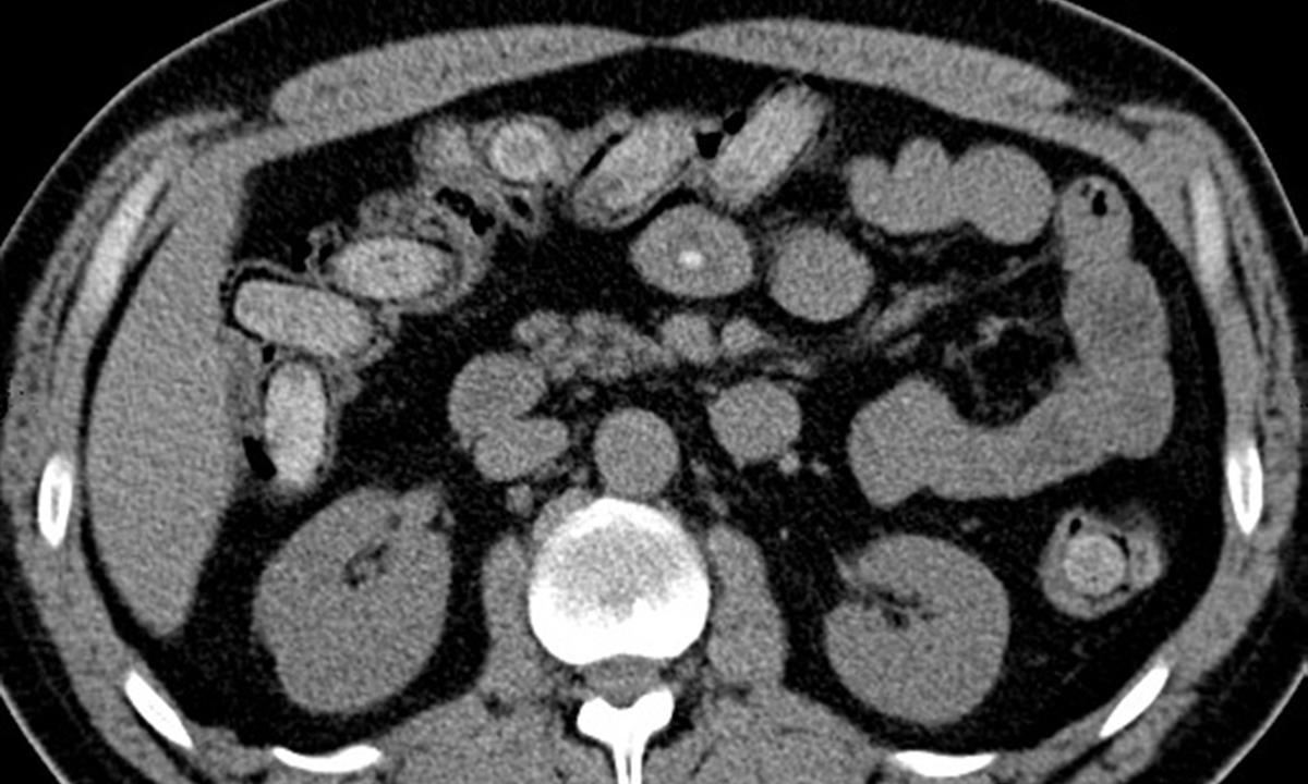
Celníci muže zadrželi a převezli na odborné lékařské vyšetření – počítačovou tomografii (CT). Snímky z CT prokázaly, že se v jeho břišní dutině nacházejí desítky kapslí o velikosti 2x5 cm s neznámým obsahem.

 


Již během sobotní noci vyšlo na speciální toaletě z těla pašeráka prvních 26 kapslí obsahujících kokain. Další kapsle vycházely postupně v následujících dnech, poslední v úterý večer. Dnešní kontrolní CT vyšetření potvrdilo, že se v jeho tělních dutinách již žádné kapsle nenacházejí.

 

V tomto roce se jedná o první záchyt „polykače“ kokainu na ruzyňském letišti. V červenci zde celníci zadrželi „polykače“ heroinu

   

Celní správa má od roku 2009 ve vlastnictví speciální toaletu s automatizovaným čištěním a dezinfekcí určenou pro tyto případy, kdy je zadržen tzv. „polykač“. Tato toaleta očistí všechny objekty, které vyloučí polykač ze svého těla tak, aby s nimi bylo možné dále bezpečně nakládat a podrobit specifickým drogovým testům.

 


Převoz drog v tělních dutinách je velkým hazardem. Při jakémkoli poškození obalu kapsle s drogou může dojít ke smrti osoby, protože množství drogy v jejím těle není schopen organismus vstřebat a dojde k jeho selhání.

 

mjr. Bc. Jiří Barták
vedoucí oddělení vztahů k veřejnosti a tiskový mluvčí Generálního ředitelství cel
tel: +420 261 331 921
mobil: +420 725 370 040
fax: +420 261 332 100
e-mail: media@cs.mfcr.cz

Skočit na začátek stránky