Cs En Translate
Celní správa České republiky
Generální ředitelství cel
Oddělení Vztahů k veřejnosti
Budějovická 7
Praha 4

V Praze 20.10.2011

Tisková zpráva

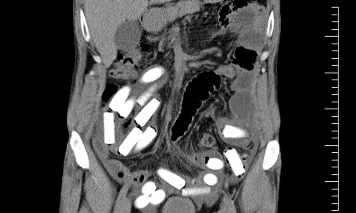
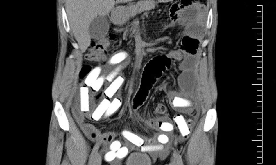
Polykač pašoval kilo kokainu

Dnes vyloučil rumunský pašerák ze svého těla poslední z 55 kapslí s šesti sty gramy kokainu. Dalších 40 kapslí se čtyřmi sty gramy kokainu měl ukryto ve speciálním pásu na těle. Pašeráka odhalili celníci na letišti Praha Ruzyně při kontrole cestujících linky Curych – Praha.  

Do Curychu přicestoval 49-letý muž z brazilského Sao Paula. Droga s největší pravděpodobností nebyla určena na český trh, kde by za ni mohl utržit až dva miliony. Cizinec je nyní ve vazbě. Za pašování drog mu hrozí dvanáctiletý trest odnětí svobody.

Jedná se o první případ „polykače“ v roce 2011, celníci na Ruzyni doposud odhalili čtyři případy pašování kokainu (cca sedm kilogramů), který byl pašován v zavazadlech, oblečení či v tělesném otvoru.

kpt. Ing. Martina Kaňková
tisková mluvčí Generálního ředitelství cel
a Celního ředitelství Praha
tel: +420 261 331 931
mobil: +420 725 370 040
fax: +420 261 332 100
e-mail: media@cs.mfcr.cz

Skočit na začátek stránky