Celníci letos zaznamenali již druhý případ pašování kokainu v těle. Cizinec převážel v břišní dutině čtyři kontejnery s kokainem.
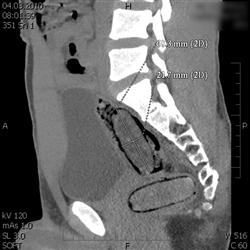
Olomoučtí celníci prováděli ve čtvrtek 4. března v nočních hodinách kontrolu mezinárodního rychlíku. Ten jel z Polska do Rakouska. Všimli si jednoho z cestujících, který vykazoval indicie naznačující pašování drogy. Pocházel z oblasti západní Afriky a trvalý pobyt měl v Evropské unii. Celníci provedli další kontroly za účelem detekce přítomnosti omamné psychotropní látky. Ty potvrdily výskyt drogy v těle. Následné CT vyšetření s jistotou prokázalo, že muž ukrývá v tělních dutinách čtyři kontejnery s neznámou látkou. Po vyloučení těchto předmětů z těla, za přítomnosti celníků, byl proveden drogový test a orientační vážení. Pasažér převážel v tělních dutinách 114 gramů kokainu. V lednu byl odhalen podobný případ, kdy cizinec přepravoval stejným způsobem 160 gramů kokainu.
Olomoučtí celníci případ předali pracovníkům Celní protidrogové jednotky Generálního ředitelství cel, kteří zahájili trestní řízení. V současné době je cizinec ve vazbě a hrozí mu trest odnětí svobody až deset let.
Pašování kokainu v tělních dutinách je velmi nebezpečným trendem. V případě poškození obalů drogy dochází k okamžitému úmrtí pachatele. Tato metoda pašování má přesto vzrůstající tendenci. Jen v roce 2009 čeští celníci zabránili pašování kokainu do České republiky tímto způsobem ve dvanácti případech. Celní správa ČR používá účinné metody k jeho odhalování. Z taktických důvodů však nelze tyto metody zveřejnit.
Celní ředitelství má k dispozici videozáznam a fotodokumentaci.


