Cs En Translate
Celní správa České republiky
Celní úřad Praha Ruzyně
Aviatická 12/1048
160 08 Praha 6

V Praze 29.09.2021

Tisková zpráva

Polykač kokainu přes ruzyňské celníky neprošel

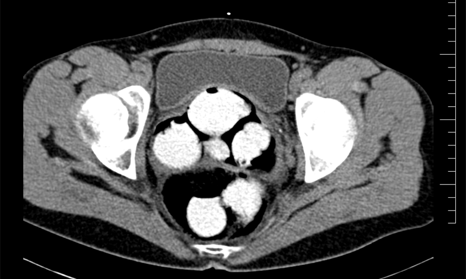
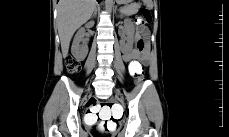
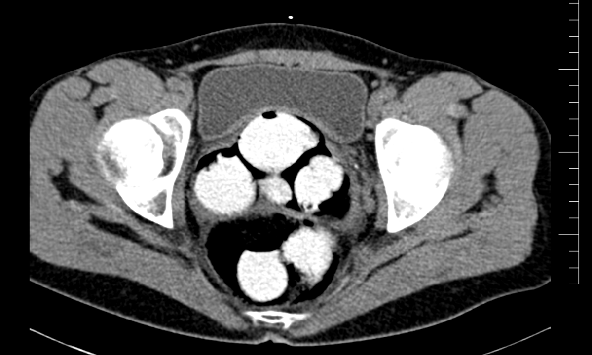
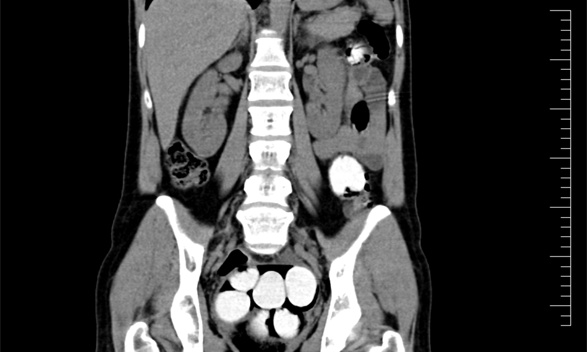
Na konci minulého týdne opustila útroby pašeráka poslední ze 124 kapslí obsahujících kokain. Pětatřicetiletý cizinec byl celníky odhalen již v úterý večer 21. září 2021 po příletu z Madridu.

Ke kontrole byl polykač celníky vytipován na základě provedené rizikové analýzy daného letu. Prvotní podezření na pašování drog celníkům potvrdily kontrolní stěry DrugWipe z rukou pašeráka s pozitivní reakcí. Při důkladné kontrole jeho zavazadel a osobní prohlídce nebyly drogy nalezeny, proto bylo provedeno následné CT vyšetření v nemocničním zařízení, které podezření potvrdilo. 

Postupně z těla pašeráka vyšlo 124 kontejnerků naplněných bílým práškem. Chemická látka při provedení detekční zkoušky NARK II pozitivně reagovala jako kokain. Celková hmotnost všech kapslí je 1 429,1 g. Určení vlastní hmotnosti a druhu zajištěné drogy je předmětem další odborné expertízy. Podle zkušeností celníků se s největší pravděpodobností jedná o velmi koncentrovaný kokain. Zda byla droga určena na český trh nebo k distribuci v jiné zemi, je předmětem dalšího šetření.

Cizinec byl předán policejnímu orgánu Generálního ředitelství cel a následně Národní protidrogové centrále Policie ČR s návrhem na zahájení trestního stíhání pro podezření ze spáchání trestného činu nedovolené výroby a jiné nakládání s omamnými a psychotropními látkami a s jedy.

kpt. Ing. Šárka Miškovská
Tisková mluvčí Celního úřadu Praha Ruzyně
tel: +420 261 331 084
mobil: +420 602 490 784
e-mail: s.miskovska@cs.mfcr.cz

Skočit na začátek stránky