Cs En Translate
Celní správa České republiky
Celní úřad Praha Ruzyně
Aviatická 12/1048
160 08 Praha 6

V Praze 04.10.2017

Tisková zpráva

Ruzyňští celníci odhalili polykače kokainu

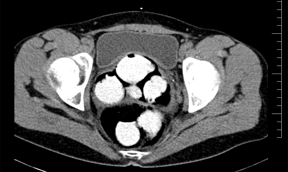
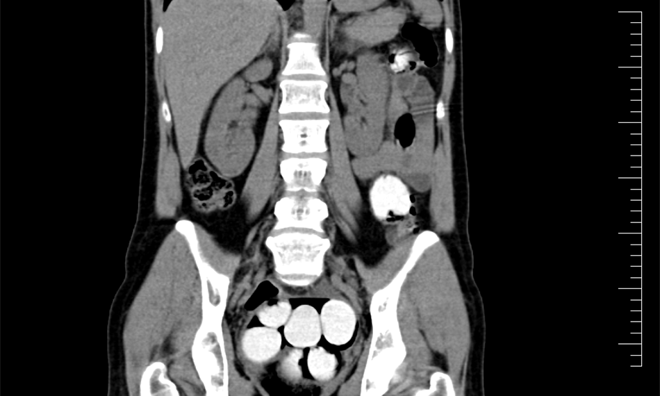
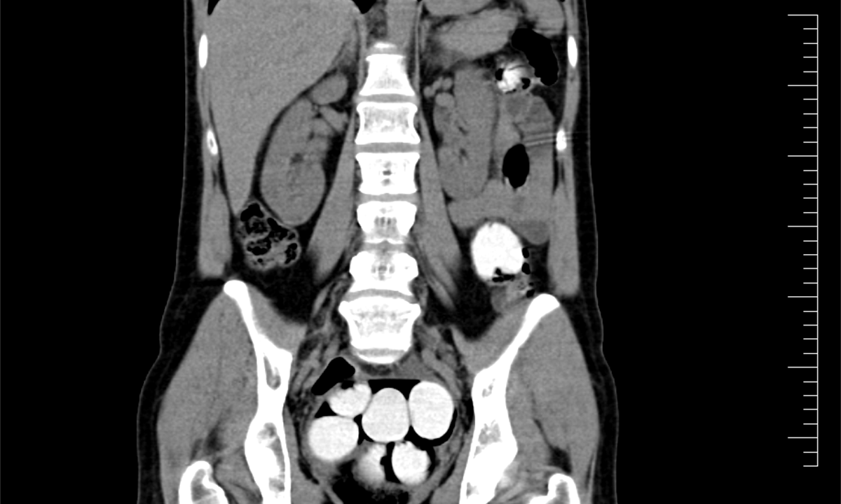
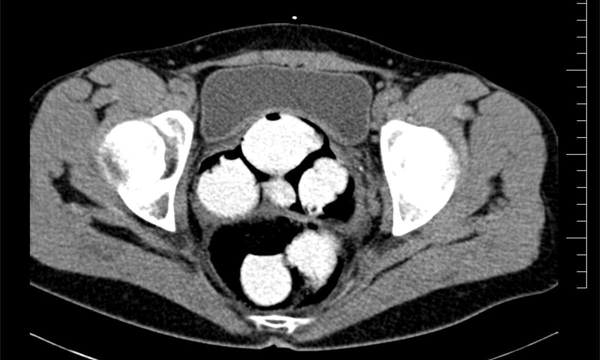
​Na konci minulého týdne opustila útroby pašeráka poslední ze 112 kapslí obsahujících kokain. Osmačtyřicetiletý cizinec byl celníky odhalen již v pátek večer 29. září 2017 po příletu z Madridu.

Ke kontrole byl polykač celníky vytipován na základě provedené rizikové analýzy daného letu. Prvotní podezření na pašování drog celníkům potvrdily kontrolní stěry z rukou pašeráka.  Při důkladné kontrole jeho zavazadel a osobní prohlídce nebyly drogy nalezeny, proto bylo provedeno následné CT vyšetření, které podezření potvrdilo. 

Postupně z těla pašeráka vyšlo 112 kontejnerků naplněných bílým práškem. Chemická látka při provedení detekční zkoušky pozitivně reagovala jako kokain. Celková hmotnost všech kapslí je více než 1,2 kg. Určení vlastní hmotnosti a druhu zajištěné drogy je předmětem další odborné expertízy. Podle zkušeností celníků se s největší pravděpodobností jedná o velmi koncentrovaný kokain. Zda byla droga určena na český trh nebo k distribuci v jiné zemi, je předmětem dalšího šetření.

Cizinec byl předán Národní protidrogové centrále Policie ČR k zahájení trestního stíhání pro podezření ze spáchání trestného činu nedovolené výroby a jiné nakládání s omamnými a psychotropními látkami a s jedy.

kpt. Ing, Šárka Miškovská
Tisková mluvčí Celního úřadu Praha Ruzyně
tel: +420 261 331 084
mobil: +420 602 490 784
e-mail: s.miskovska@cs.mfcr.cz

Skočit na začátek stránky