Cs En Translate
Celní správa České republiky
Celní úřad Praha Ruzyně
Aviatická 12/1048
160 08 Praha 6

V Praze 01.10.2014

Tisková zpráva

Ruzyňští celníci odhalili polykače kokainu

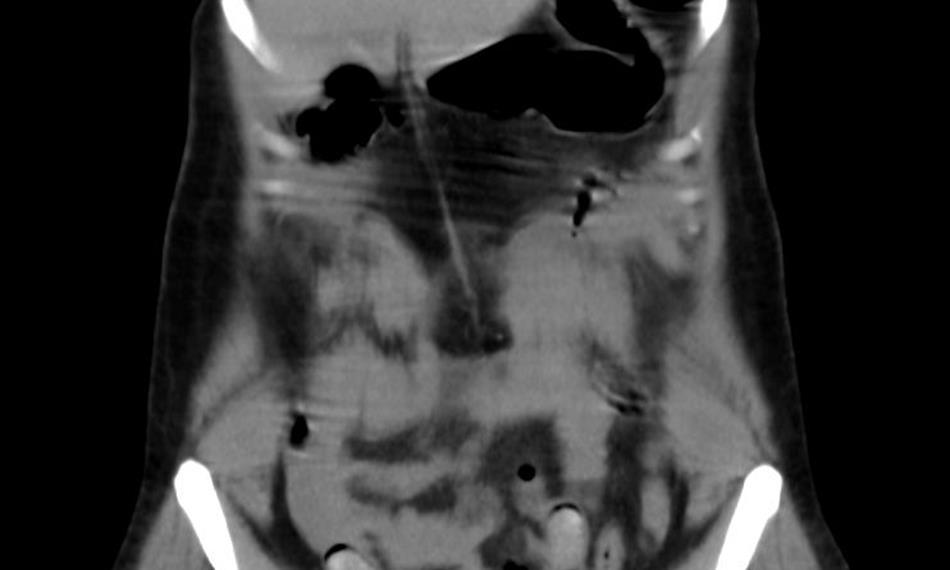
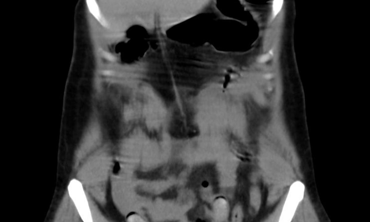
O víkendu odhalili celníci na pražském letišti Václava Havla v Ruzyni polykače kokainu. Jednalo se o 35letou cizinku, která postupně vyloučila 11 kapslí obsahujících drogy. Cizinka cestovala na pravidelné lince Madrid-Praha.

Ke kontrole byla polykačka celníky vytipována na základě provedené rizikové analýzy daného letu. Prvotní podezření na pašování drog celníkům potvrdily kontrolní stěry z rukou pašeračky.  

Postupně z těla pašeračky vyšlo 11 kontejnerků naplněných bílým práškem. Jeden o váze 116,3 gramů byl ukryt v pohlavním ústrojí ženy. Chemická látka při provedení detekční zkoušky pozitivně reagovala jako kokain. Celková hmotnost všech kapslí včetně drogy je více než 230 gramů. Určení vlastní hmotnosti a druhu zajištěné drogy je předmětem další odborné expertízy. Podle zkušeností celníků se s největší pravděpodobností jedná o velmi koncentrovaný kokain. Zda byla droga určena na český trh nebo k distribuci v jiné zemi, je předmětem dalšího šetření.

Cizinka byla celníky zadržena a předána Policii České republiky.

kpt. Ing. Šárka Miškovská
Tisková mluvčí Celního úřadu Praha Ruzyně
tel: +420 261 331 035
mobil: +420 602 490 784
e-mail: s.miskovska@cs.mfcr.cz

Skočit na začátek stránky