Cs En Translate
Celní správa České republiky
Generální ředitelství cel
Oddělení Vztahů k veřejnosti
Budějovická 7
Praha 4

V Praze 19.03.2013

Tisková zpráva

Ruzyňští celníci odhalili pašeráka-polykače se 107 kapslemi drogy

Včera v odpoledních hodinách opustila útroby pašeráka poslední ze 107-mi kapslí obsahujících drogy. Cizinec, rakouský státní příslušník, byl celníky odhalen již v pátek 15.3.2013 po příletu z Teheránu.
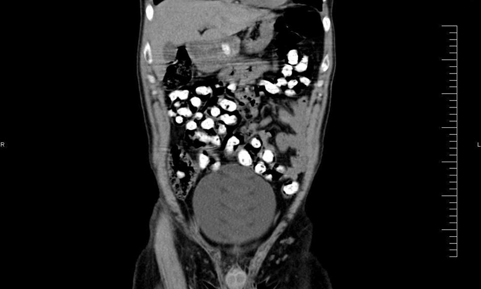
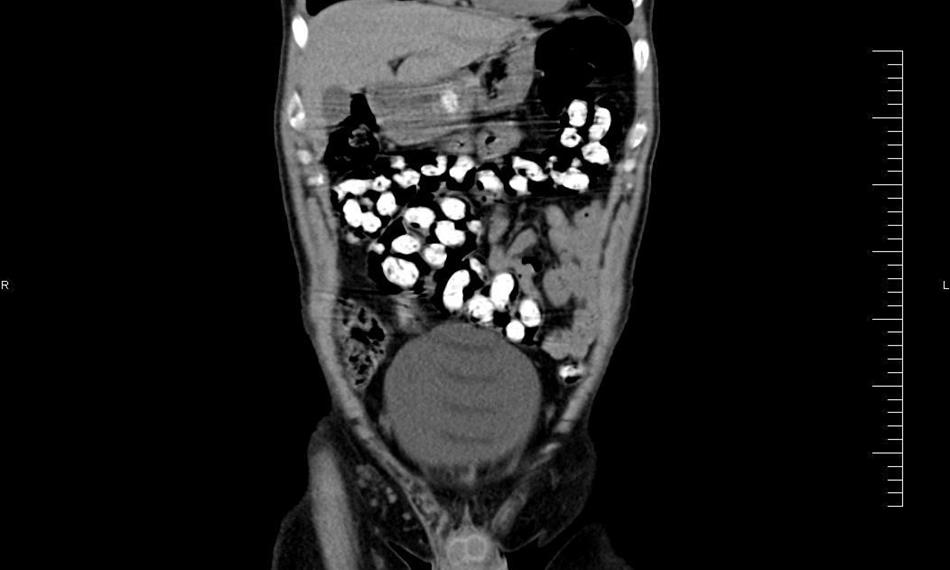
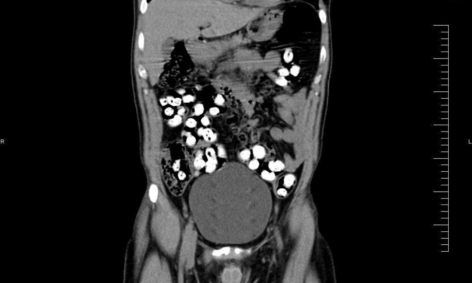
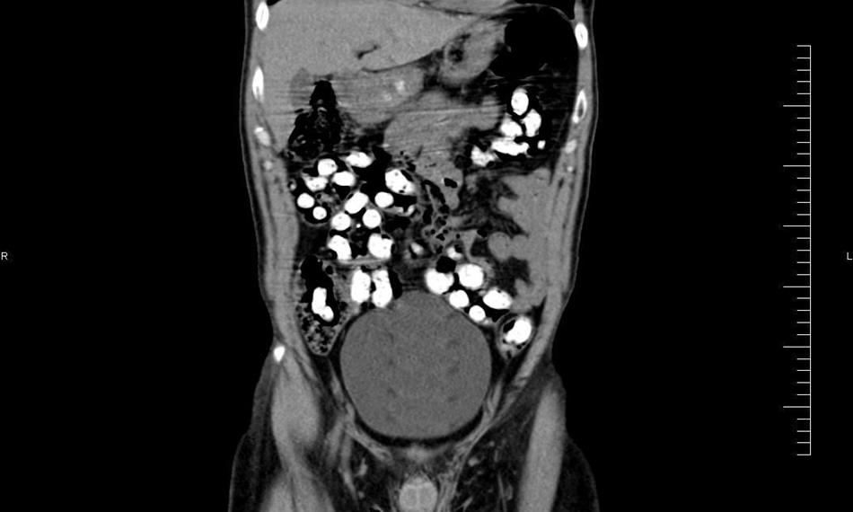
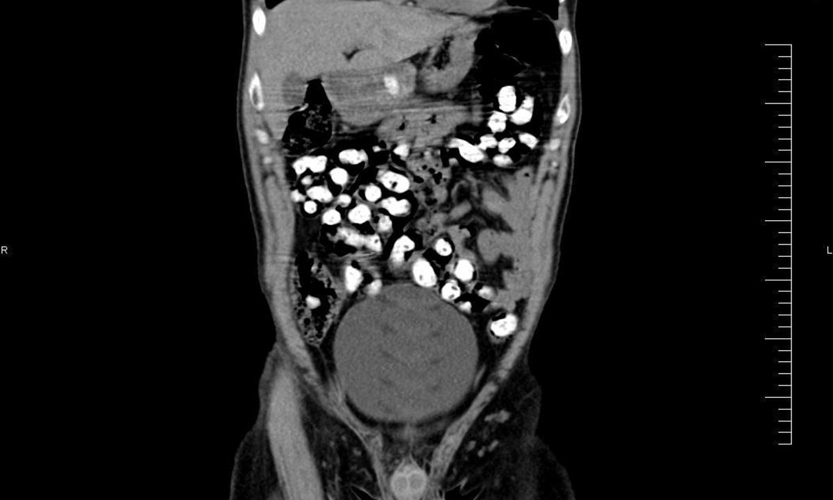
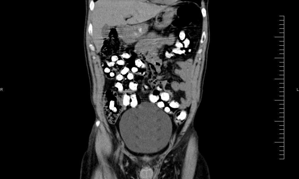
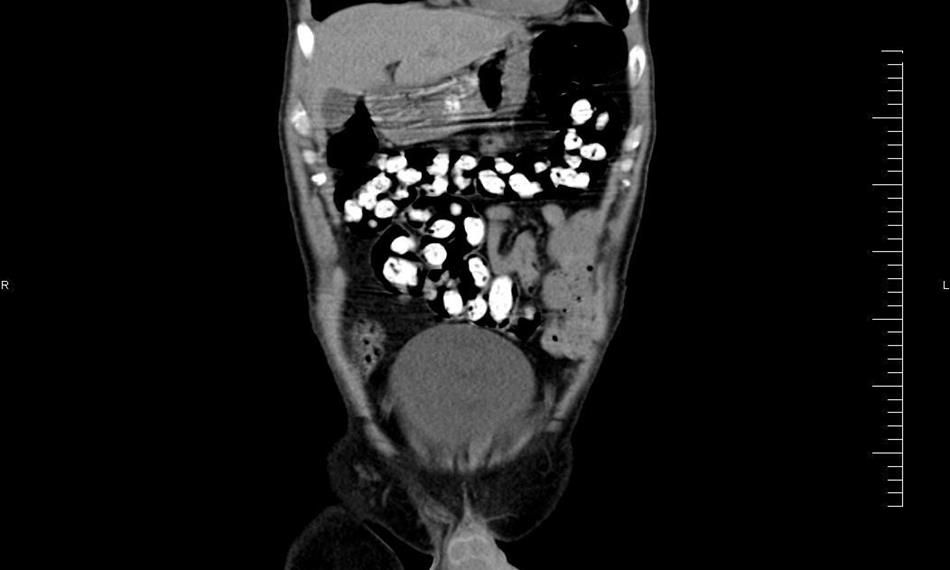
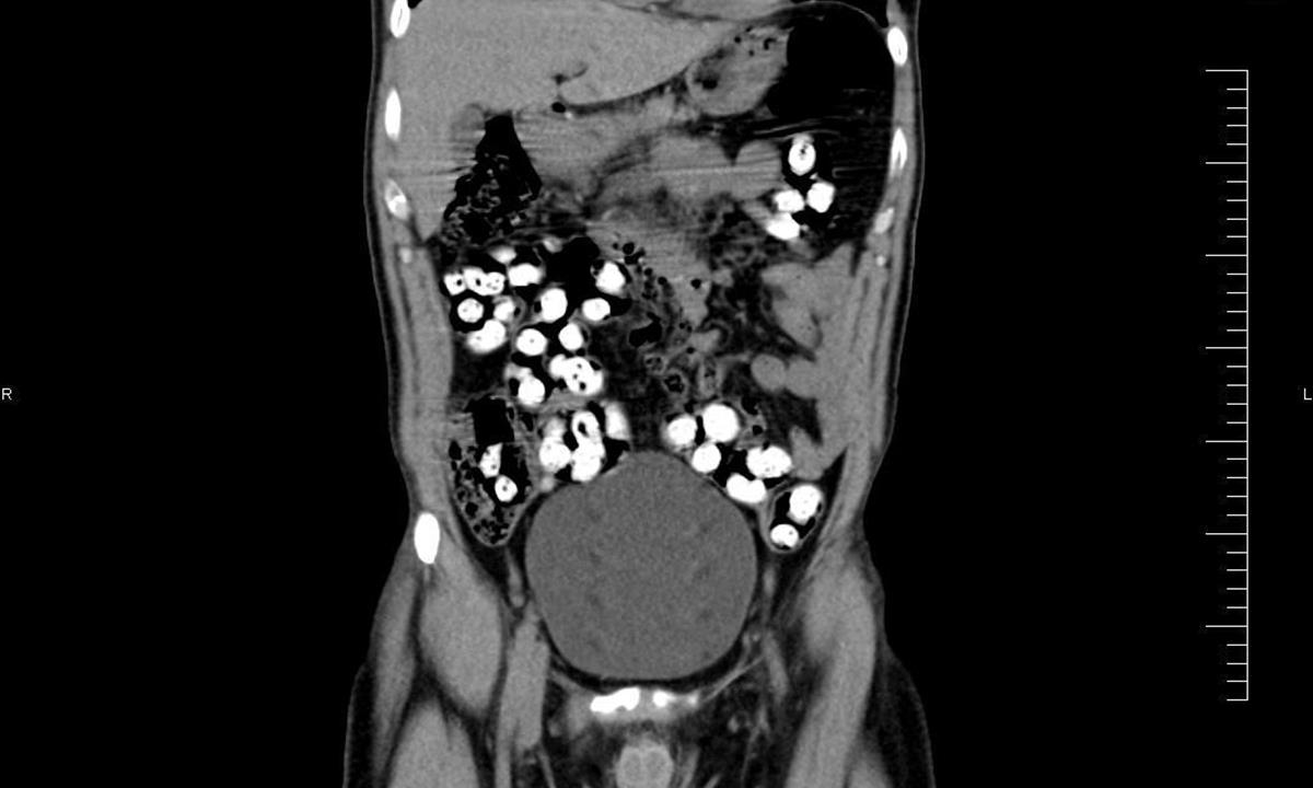
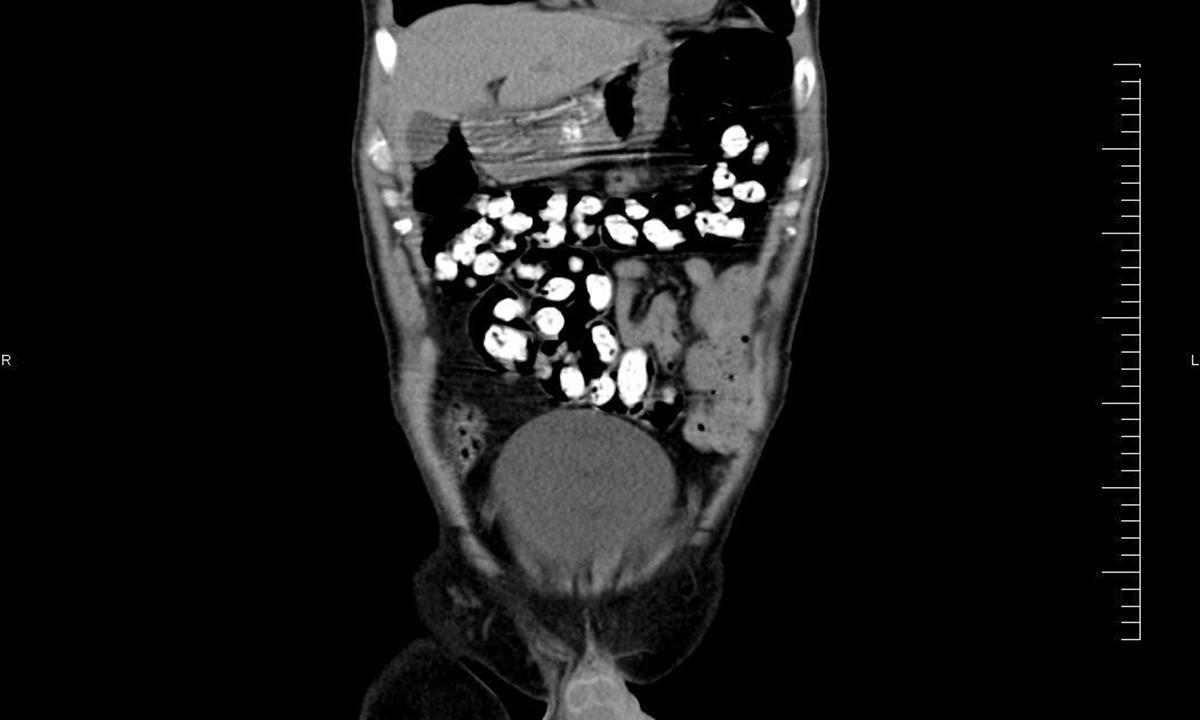
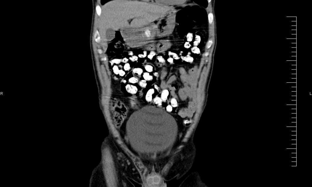
Ke kontrole byl polykač celníky vytipován na základě provedené rizikové analýzy daného letu. Prvotní podezření na pašování drog celníkům potvrdily kontrolní stěry z rukou pašeráka.  Při důkladné kontrole jeho zavazadel a osobní prohlídce nebyly drogy nalezeny, proto bylo provedeno následné rentgenové vyšetření (viz.foto).
Postupně z těla pašeráka vyšlo všech 107 kontejnerků naplněných tuhou hmotou černé barvy. Chemická látka při provedení detekční zkoušky pozitivně reagovala jako opiát. Celková hmotnost všech kapslí včetně drogy je 856 gramů. Určení vlastní hmotnosti a druhu zajištěné drogy je předmětem další odborné expertízy. Podle zkušeností celníků se s největší pravděpodobností jedná o surové opium. Tento druh drogy není na českém trhu obvyklý a zřejmě byla určena k distribuci v jiné zemi.
Cizinec byl celníky zadržen a předán Policii České republiky.
Kromě polykače byli ve stejném letu navíc odhaleni dva pašeráci cigaret, kteří měli ve svých zavazadlech 16.400 kusů cigaret (82 kartonů). Únik na cle a daních činí přes 60.000 korun.
plk.Ing. Pavel Drobek
Tiskový mluvčí Celního úřadu Praha Ruzyně
tel: +420 261 331 035
mobil: +420 724 502 051
e-mail: p.drobek@cs.mfcr.cz

Skočit na začátek stránky