Cs En Translate
Celní správa České republiky
Generální ředitelství cel
Oddělení Vztahů k veřejnosti
Budějovická 7
Praha 4

V Praze 13.07.2010

Tisková zpráva

Celníci na ruzyňském letišti odhalili pašeráka heroinu

Pražští celníci odhalili v neděli večer při kontrole cestujících na ruzyňském letišti 24letého rumunského občana, který měl v těle 35 kapslí s heroinem (1 kapsle obsahuje cca 10 gramů heroinu). Za toto množství drogy by bylo možné získat přes 600 tisíc korun.

Pašerák drog letěl na lince Istanbul – Praha. Jeho chování při kontrole cestujících na vstupu do ČR bylo celníkům podezřelé, provedli osobní prohlídku a  kontrolní stěr rukou. Kontrolní stěr byl pozitivní, stejně dopadl i následný rozbor vzorku moči.
   
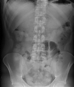
Celníci muže zadrželi a převezli na odborné lékařské vyšetření. Rentgenové snímky prokázaly, že se v jeho břišní dutině nacházejí desítky kapslí o velikosti 3-4 cm s neznámým obsahem.

Již včera ráno vyšla na speciální toaletě z těla pašeráka první kapsle obsahující heroin. Podle předpokladů by se zbývající kapsle měly z jeho těla vyloučit během dnešního dne.

Celní správa má od roku 2009 ve vlastnictví speciální toaletu s automatizovaným čištěním a dezinfekcí určenou pro tyto případy, kdy je zadržen tzv. „polykač“. Tato toaleta očistí všechny objekty, které vyloučí polykač ze svého těla tak, aby s nimi bylo možné dále bezpečně nakládat a podrobit specifickým drogovým testům.

Převoz drog v tělních dutinách je velkým hazardem. Při jakémkoli poškození obalu kapsle s drogou může dojít ke smrti osoby, protože množství drogy v jejím těle není schopen organismus vstřebat a dojde k jeho selhání.

V drtivé většině zjištěných případů přepravy drog v tělních dutinách polykačů je v kapslích nalezen kokain, tento případ záchytu heroinu je spíše výjimkou.

Celní správa zaznamenala v roce 2008 dva záchyty kokainu na letišti Praha – Ruzyně, v roce 2009 jedenáct případů zadržení převozu kokainu v letecké, silniční i železniční dopravě. Letos byly zjištěny zatím tři případy přepravy drog, z toho dva na železnici. 

     


    
Video ke stažení

kpt. Zuzana Hrubá
tisková mluvčí Generálního ředitelství cel
tel: +420 261 331 931
mobil: +420 725 370 040
fax: +420 261 332 100
e-mail: media@cs.mfcr.cz

Skočit na začátek stránky